Κωδικός QR
Radiology CT Anatomy

Radiology CT Anatomy

1.6 από Viet Nguyen
(0 Αξιολογήσεις) Φεβρουάριος 12, 2026
Radiology CT Anatomy Radiology CT Anatomy Radiology CT Anatomy Radiology CT Anatomy Radiology CT Anatomy Radiology CT Anatomy

Τελευταία Έκδοση

Έκδοση
1.6
Ενημέρωση
Φεβρουάριος 12, 2026
Προγραμματιστής
Viet Nguyen
Κατηγορίες
Υγεία
Πλατφόρμες
Android
Εγκαταστάσεις
0
Άδεια Χρήσης
Free
Όνομα Πακέτου
air.CT
Επισκεφθείτε τη σελίδα

Περισσότερα για Radiology CT Anatomy

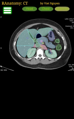
Το RAnatomy: CT προσφέρει έναν δυναμικό και διαδραστικό τρόπο για την προβολή και κατανόηση της εγκάρσιας ανθρώπινης ανατομίας μέσω αξονικής τομογραφίας (CT). Ένα χρήσιμο εργαλείο για εκμάθηση και αναφορά στην ανατομία CT.
Καλωσορίσατε στο RAnatomy, τον απόλυτο συνεργάτη σας στην εξερεύνηση της ανθρώπινης ανατομίας μέσω εικόνων υψηλής ανάλυσης. Σχεδιασμένο για φοιτητές, επαγγελματίες υγείας και οποιονδήποτε με πάθος για την ιατρική επιστήμη, το RAnatomy προσφέρει μια πρωτοποριακή οπτική εμπειρία. Βυθιστείτε στον πολύπλοκο κόσμο των αξονικών τομογραφιών, αποκωδικοποιώντας τις δομές του σώματος με πρωτοφανή σαφήνεια. Αυτή η εφαρμογή μετατρέπει την περίπλοκη ανατομία σε μια προσβάσιμη και κατανοητή γνώση, επιτρέποντάς σας να οπτικοποιήσετε και να κατανοήσετε βασικά ανατομικά σημεία με ευκολία.

Η αλληλεπίδραση με το RAnatomy είναι διαισθητική και άμεση. Με ένα απλό άγγιγμα ενός δαχτύλου, μπορείτε να επισημάνετε και να αναγνωρίσετε συγκεκριμένες ανατομικές δομές, φέρνοντας φως στις πιο λεπτές λεπτομέρειες. Η περιήγηση στις διαδοχικές τομές αξονικών τομογραφιών γίνεται απροβλημάτιστα με μια κάθετη κίνηση του δαχτύλου, προσφέροντας μια δυναμική προβολή της εσωτερικής μας αρχιτεκτονικής. Επιπλέον, χρησιμοποιήστε την κίνηση "pinch" για μεγέθυνση, ώστε να εμβαθύνετε σε κάθε εικόνα, αποκαλύπτοντας μικροσκοπικά στοιχεία και ενισχύοντας την κατανόησή σας. Το RAnatomy έχει σχεδιαστεί για να κάνει την εκμάθηση ανατομίας μια ομαλή και ενδιαφέρουσα διαδικασία.

Το RAnatomy είναι ένα έργο που εξελίσσεται συνεχώς, με την ομάδα ανάπτυξής του να δεσμεύεται να προσθέσει σύντομα νέες δυνατότητες, συμπεριλαμβανομένων στεφανιαίων και οβελιαίων τομών, καθώς και υποστήριξη για άλλες απεικονιστικές μεθόδους. Ωστόσο, είναι εξαιρετικά σημαντικό να τονιστεί ότι οι πληροφορίες που παρέχονται εντός της εφαρμογής RAnatomy προορίζονται αποκλειστικά ως εκπαιδευτικός πόρος και δεν πρέπει να χρησιμοποιούνται ή να βασίζονται για διαγνωστικούς ή θεραπευτικούς σκοπούς. Αυτή η εφαρμογή δεν αποτελεί υποκατάστατο για επαγγελματική ιατρική διάγνωση και θεραπεία. Η RAnatomy αποποιείται ρητά την ευθύνη για οποιεσδήποτε ζημίες ή απώλειες προκύψουν από την εξάρτησή σας στις πληροφορίες της εφαρμογής, και με τη χρήση της εφαρμογής συμφωνείτε με τους όρους αυτούς, οι οποίοι ενδέχεται να τροποποιούνται.

Βαθμολογήστε την Εφαρμογή

Προσθήκη Σχολίου & Αξιολόγησης

Αξιολογήσεις Χρηστών

Βασισμένο σε 0 αξιολογήσεις
5 Αστέρι
0
4 Αστέρι
0
3 Αστέρι
0
2 Αστέρι
0
1 Αστέρι
0
Προσθήκη Σχολίου & Αξιολόγησης
Δεν θα μοιραστούμε ποτέ το email σας με κανέναν άλλον.